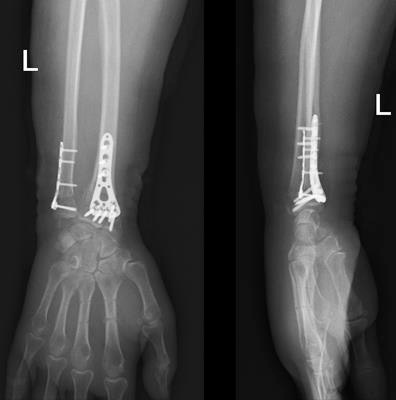
Пациентка М. 70 лет. Упала в быту на улице. При поступлении в клинику диагностированы многооскольчатые переломы дистальных метаэпифизов локтевой и лучевой кости. После закрытой репозиции сохраняется смещение отломков.

На 3 сутки выполнена открытая репозиция и фиксация переломов пластинами и винтами. Положение отломков удовлетворительное, пациентка выписана на амбулаторное лечение.

Пациент К. 45 лет. Травма в результате ДТП. При поступлении в клинику диагностирован открытый многооскольчатые переломы дистальных метаэпифизов локтевой и лучевой кости.

При поступлении выполнена экстренная операция – фиксация перелома в аппарате внешней фиксации.

По заживлению ран в области перелома выполнена открытая репозиция и фиксация переломов пластинами и винтами. Положение отломков удовлетворительное, пациентка выписана на амбулаторное лечение.

Послеоперационное течение протекало гладко. Перелом сросся металлоконструкция удалена.
Пациент С. 23 года. травма при ударе кулаком о боксерскую грушу. Диагностирован типичный для этого вида травмы перелом 5 плюсневой кости.

В связи с неудовлетворительным положением отломков после репозиции было принято решение выполнить операцию.

Положение на отломков на контроле удовлетворительное.
В нашей клинике мы можем предложить Вам специально разработанные металлоконструкции для фиксации переломов лучевой, локтевой кости, а также костей кисти, изготовленные из различных материалов, а также подобрать наиболее подходящий в Вашем конкретном случае. Результат операции в большой степени зависит не только от качества импланта, но и от навыка и опыта хирурга. Специалист нашей клиники имеет опыт лечения нескольких сотен переломов данной локализации в течении более 10 лет.
Мы также применяем минимально инвазивные методики операций на костях предплечья и кисти. Пациенты, которым выполнялась операция в условиях нашей клиники, возвращаются к двигательной активности уже на следующий день после операции.
Еще один клинический случай…

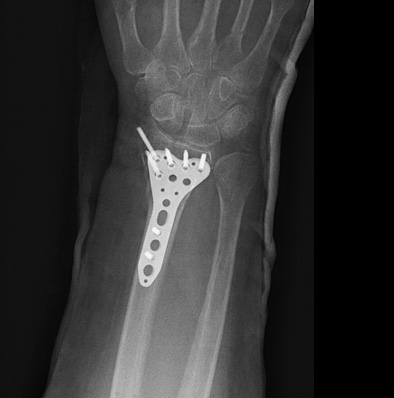
После операции








